Advanced Cardiovascular Imaging
Expertise, collaboration and innovation define imaging programs across our enterprise.
Redefining excellence
2025 Outcomes
Our program is distinguished by its deep clinical expertise and strong culture of collaboration. Our dedicated advanced imaging team brings a genuine passion for excellence and seamlessly integrates their skills into clinical practice—working alongside electrophysiology, interventional cardiology, heart failure and cardiac surgery teams. This close-knit collaboration fosters smarter decision-making and delivers highly personalized care for patients with complex cardiac conditions.
Our robust academic and research involvement—demonstrated through presentations at leading international conferences and publications in top-tier journals—underscores our reputation as a national leader in cardiovascular imaging
Accomplishments
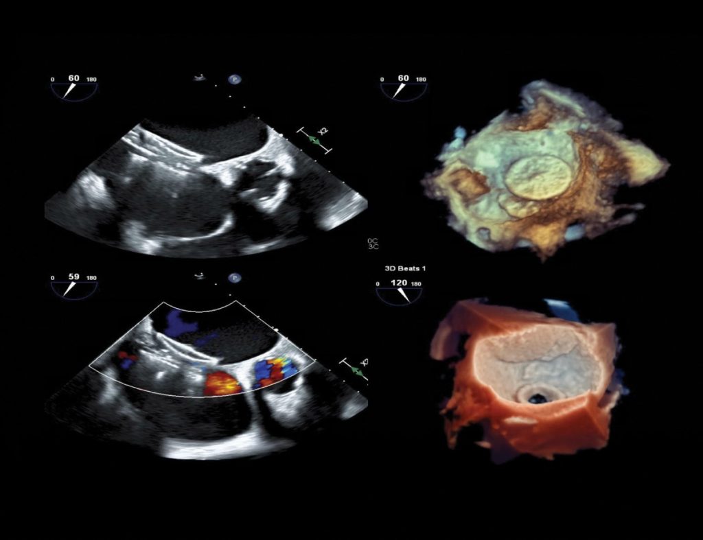
- Echocardiography-led structural heart imaging
- Our TEE team supports structural interventions across all major innovative clinical trials.
- Weekly echo conferences draw over 100 live attendees and feature national and international expert faculty, with content broadcast widely to regional and global audiences.
- System-wide IAC accreditation in echocardiography was achieved across sites.
- Standardized echo protocols and a robust QA framework were developed and implemented to ensure consistency and high diagnostic yield.
- Expanded multimodality imaging access
- A newly deployed mobile CMR scanner at Plano has reduced MRI wait times to two weeks from over four months.
- We opened seven-day outpatient access for cardiac MRI, CT, echocardiography and PET, at multiple sites.
- Our teams launched remote pacemaker/MRI protocols in Dallas, eliminating delays for patients with implantable devices.
- Upgraded CT scanners at Plano (GE Apex) and Dallas (Siemens Force) have enhanced coronary CTA capabilities.
Plano integrated AI-based coronary plaque analysis into workflows.
We welcomed three advanced imaging specialists to the Plano campus to lead CT, MRI and structural echo services.
We achieved enterprise-wide echo and carotid vascular IAC accreditation and implemented standardized echo protocols and QA programs.
- National and international academic impact
- Our physicians, faculty and fellows:
- Led the first CT-guided PCI workshop in Texas and delivered national and international grand rounds
- Launched the SAFE-CMR-LEADS trial at Dallas, expanding safe MRI access for patients with pacemaker or defibrillator leads by using safer, customized scanning techniques. Early results have shown high success in obtaining safe and diagnostic imaging with no major complications during follow-up.
- Actively participated in multiple international multicenter imaging registries, including CONFIRM2 and DECIDE
- Presented at SCCT, SCMR, TCT, NY Valve, STS, ASE and more
Contributed key imaging case presentations and original research and published in top-tier peer-reviewed journals, including JASE and JCMR.
Developed a comprehensive fellowship curriculum at Plano with a 90% echo board pass rate—featuring 99th and 100th percentile scores
- Our physicians, faculty and fellows:
ON THE HORIZON
PLANO
New Advanced Cardiac Imaging Center
under construction with a second CMR
scanner, PET-CT unit and expanded
procedural imaging capabilities
Hybrid imaging platform development
combining TEE, CT and perfusion PET
for integrated assessment of ischemia
and valve function
Flurpiridaz PET to offer unprecedented
clarity for diffuse ischemia and
microvascular disease
DALLAS
Expanding MRI access with weekend
services and mobile MRI launch for
community outreach
Continuing leadership in
device-compatible imaging protocols
WAXAHACHIE
New cardiac CT service launching in early 2026 to meet growing community demand
VOLUMES
TOTAL CARDIAC
MRIS:
TOTAL
CARDIAC CTs:
TOTAL
ECHOCARDIOGRAMS:
Innovation
- 3D TEE, intracardiac echo (ICE), strain imaging, CFQ, and real-time fusion imaging (TEE or CT + fluoro) are part of our daily practice in structural and interventional cases.
- AI-powered coronary plaque analysis is now routinely used in CT workflows at Plano and Dallas, offering noninvasive quantification and characterization of coronary plaque. This tool enables proactive prevention strategies, precise procedural planning, and effective monitoring of disease progression or response to therapy—bringing personalized, precision cardiology to the forefront of care.
- Integrating Philips IntelliSpace Cardiovascular (ISCV) with Epic/Cupid has streamlined echo image review, structured reporting and optimized workflows.
Quality awards 2025
Achievements placing us among the elite
Heart & Vascular Surgery
Denton: 3 Stars in 2 Categories
Denton
Previous
Next
